Esperti a confronto a Francavilla al Mare sul trattamento medico parachirurgico e chirurgico del glaucoma. Un evento organizzato dal dottor Valdo Paolone oculista della casa di cura Pierangeli di Pescara.
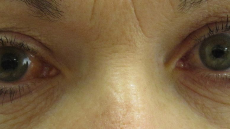
Il glaucoma è una malattia oculare correlata generalmente a una pressione dell’occhio troppo elevata. Secondo l’Organizzazione Mondiale della Sanità ne sono affette almeno 55 milioni di persone a livello planetario e rappresenta la seconda causa di cecità dopo la cataratta, ma è la prima causa irreversibile. In Italia si stima che colpisca circa un milione di persone, ma la metà di esse non ne sarebbe a conoscenza perché non effettua visite oculistiche periodiche complete. La prevenzione rimane, dunque, fondamentale ma c’è da rilevare che l’oftalmologia ha fatto notevoli passi avanti come hanno spiegato gli specialisti che hanno partecipato, all’hotel “Villa Maria ” di Francavilla al Mare, all’evento formativo dal titolo “Trattamento medico parachirurgico e chirurgico del glaucoma”. Il simposio, organizzato dal dottor Valdo Paolone, oculista della casa di cura privata “Pierangeli” di Pescara, ha visto tra i relatori il dottor Domenico Lepore, docente dell’università Cattolica del Sacro Cuore di Roma, il quale si è soffermato sull’incidenza del glaucoma in età pediatrica.

sono veramente d’accordo, io che ho questa malattia da anni ho dovuto sempre ricorrere a visite a pagamento per i controlli periodici In Abruzzo siamo veramente messi male per quanto riguarda la sanità
Come si fa a credere nella prevenzione, quando per una visita i tempi di attesa sono di 8 mesi per un centro che tratta il glaucoma, in Abruzzo?