Ud’A: sindrome metabolica fattore di rischio per patologie colon

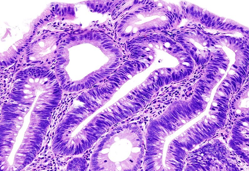
La Sindrome Metabolica è un importante fattore di rischio per la insorgenza di adenomi e cancro del colon. Lo dimostra uno studio coordinato da ricercatori della Ud’A coordinati dal prof. Matteo Neri, ordinario presso il Dipartimento di Medicina e Scienze dell’Invecchiamento.

Il lavoro è stato appena pubblicato sulla prestigiosa rivista SAGE Journals. “Sebbene fosse noto in passato che obesità e diabete conclamati fossero tra i fattori di rischio per le neoplasie del colon, – spiega il prof. Matteo Neri – abbiamo dimostrato che anche soggetti normopeso e prediabetici, se posseggono tre delle cinque componenti della sindrome metabolica, sono a rischio doppio rispetto a chi non le possiede di sviluppare adenomi o carcinoma del colon. La sindrome metabolica è un insieme di caratteristiche antropometriche (circonferenza addominale), circolatorie (pressione arteriosa) e laboratoristiche (glicemia, trigliceridemia, colesterolemia) la cui presenza è un fattore di rischio noto per le malattie cardiovascolari e, da oggi, anche per le neoplasie del colon, indipendentemente dalla presenza di obesità. La forza di questo studio – prosegue il prof. Neri – risiede nell’elevato numero di soggetti coinvolti per l’esame colonscopico (circa 6.000) che ha portato a riscontrare 213 carcinomi e complessivamente 1949 polipi. Questo imponente numero di soggetti arruolati è stato ottenuto grazie al coinvolgimento di 50 centri di Endoscopia Digestiva distribuiti su tutto il territorio italiano e rappresentativi della nazione. Ad oggi il fattore di rischio più importante per le neoplasie del colon è l’età. Tutti i programmi di screening si basano sul reclutamento di soggetti con più di 50 anni. In realtà il riscontro di neoplasie prima di questa età è in crescente aumento. Questo studio dimostra che la sindrome metabolica è un fattore di rischio indipendente per neoplasie del colon soprattutto in soggetti con meno di 50 anni. Ciò – conclude il prof. Neri – indica la necessità di un possibile mutamento delle strategie di screening delle neoplasie del colon su base nazionale o regionale che includano questo fattore di rischio.”

Carmine Perantuono: Laureato in Giurisprudenza, è giornalista professionista dal 1997. Ricopre il ruolo di Direttore Responsabile di Rete8.