Pescara: simposio sul nodulo polmonare

nodulipolmoni

Pescara: simposio sul nodulo  polmonare. Un convegno organizzato dalla Società italiana di chirurgia toracica presieduta dal dottor  Achille Lococo.

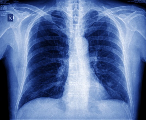
Pescara: simposio sul nodulo  polmonare. Esperti a confronto per parlare del tema “Il nodulo polmonare solitario: un tema antico che torna di attualità”.  Gli specialisti spiegano che i noduli polmonari sono molto diffusi nei fumatori incalliti e di solito si presentano sotto forma di  cicatrice, granuloma, oppure un’infezione, meno spesso un tumore.  Se vi siete sottoposti ad un esame al torace ed avete scoperto di avere un nodulo al polmone  è meglio rivolgersi allo  specialista. Comunque i dati dicono che in Italia su 5 mila soggetti esaminati, con più di 50 anni e forti fumatori, vengono trovati noduli nella metà dei casi, ma alla fine solo 50 risultano tumorali. Nella maggior parte dei casi sono benigni, dovuti, per esempio, a esiti cicatriziali di precedenti infiammazioni, come broncopolmoniti, a granulomi, oppure sono segno di infezioni come la tubercolosi. Altre volte, sono, invece, di natura maligna e quindi sono una spia di un tumore al polmone o di  metastasi polmonari di tumori di altra provenienza. La Tac , più che la radiografia , consente di rilevare noduli di dimensioni inferiori al centimetro nonché diversi parametri, tra cui densità, forma, presenza di calcificazioni e anche ricostruire l’aspetto volumetrico del nodulo, permettendo di valutarne con precisione la crescita nel tempo. L’analisi di tutti questi parametri orienta la diagnosi, evitando, in molti casi, inutili esami e tanta ansia. La prevenzione è anche in questi casi fondamentale e la prima regola è quella di non fumare e se si è stati  fumatori a lungo si può considerare l’opportunità di controlli periodici con la Tac dopo i 50 anni. Questo esame permette una diagnosi precoce di tumore al polmone nel 75% dei casi e cià  aumenta le possibilità di guarigione.

Gigliola Edmondo:

View Comments (1)

  • Ciao buona serata. Sono Sig Maria Petrea Anche io ho scoperto un nodulo a polmone destra di 2 anni che faccio controllo a 6 mese. Ce quolche medicina di guoarrire.non fumato mai.ho 62 anni.grazie mille.